
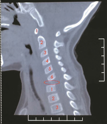
颈椎CT:红圈所在位置为琦琦缺失的颈7椎体。
广州医生为她取髂骨“补脖子”
说到“结核”,大多数人想到的是肺结核,但结核跑到颈椎里“吃掉”骨头,差点瘫痪,你可听说过?
5岁女孩琦琦(化名)因脖子疼痛到医院就诊,被诊断出“颈椎结核”,一节颈椎被结核杆菌“吞噬”,如不及时治疗,很可能致高位截瘫。情况紧急!家人带着琦琦辗转来到广州医科大学附属第三医院就诊。该院骨科专家团队为她成功手术去除颈椎结核病灶,并取髂骨“补脖子”。近日,在床上躺了两个多月的琦琦终于可以坐起来,戴着颈部固定器平安出院了。
起疑: 女儿扶着脖子才能起床
“我就看她很奇怪,每天起床都要用两个手撑着脖子才能起来。”今年2月底,琦琦妈妈发现孩子有点不对劲,除了要撑着脖子才能起床,还总说脖子痛,整个人无精打采的,饭也吃不下。
到底怎么回事?琦琦被送到医院检查,结果让人大吃一惊,琦琦患上的是“颈椎结核”!影像学检查发现她颈7椎体周围有大量脓肿,而且那一节颈椎的骨质已被结核杆菌吞噬得“面目全非”,就好像“消失”了一样。
“颈椎结核是一种继发病变,原发灶多在肺部,少数在淋巴结、消化系和泌尿生殖系等。肺部病菌进入血液循环系统,扩散至颈椎,在小儿病灶会在椎体内驻留、扩散,产生脓液,导致骨、椎间盘破坏。”据广医三院骨科副主任医师王簕介绍:随着病情发展,椎体被严重破坏,可造成椎体塌陷,如果颈椎稳定性受到损伤,后期可能导致椎体后方的脊髓神经受压,严重的甚至可能出现高位截瘫,所以及早治疗非常关键。
治疗:
医生取髂骨“补脖子”
由于疫情影响,家人带着琦琦一直在外地就医。因她年龄小,颈椎位置特殊,手术风险高,当地医院不敢手术,琦琦在床上一躺就是两个多月。
“孩子太受罪了,疼得难受就哭,白天哭,晚上也哭。”妈妈回忆说,生病以来,因为疼痛,琦琦吃不下饭,一度瘦到只有20多斤,性子也愈发沉默。
5月底,琦琦辗转来到广州医科大学附属第三医院吴增晖教授处就诊,结核病菌已侵蚀到她的颈椎椎体,严重影响了椎体的稳定性,琦琦甚至不能坐起来。
但手术的风险与挑战确实不小。“首先给5岁的孩子做颈椎手术风险就不低。”吴增晖坦言,“其次,手术的用具也是一个难题。”目前手术器械都是给成人设计的。就拿术中用于固定骨头的钢板来说,都是成年人的尺寸,孩子的颈椎偏小,目前还没有适合幼儿用的钢板。但孩子的病拖不起,怎么办?该团队想到了用于固定手指骨折的钢板,手术器械的问题算是解决了。
6月4日这天,吴增晖为琦琦实施手术。他从琦琦病变的颈椎处,取出了已被腐蚀得呈“啫喱”状的颈7椎体,手术团队随后彻底清除了结核病灶和周围的脓性分泌物,并从琦琦的髂骨处取了和颈椎大小一样的骨头,填补在空缺的颈椎处,用特殊的钢板和钉子将颈椎固定住。整个手术时间不到2小时,出血仅5毫升。
“髂骨处的骨头质量好,又是她自己的骨头,能够很好地跟颈椎上下的椎体融合生长。”该院骨科副主任医师王簕解释。术后第3天,在床上躺了两个月的琦琦终于可以扶着家人稳稳地坐起来了。
6月12日,戴着颈部固定器的琦琦可以平安出院了。由于琦琦还在生长发育中,未来骨骼也会长大变长,还需要定期回医院复查。
“等植入的骨头和上下的颈椎融合长好了,植入的钢板后续可能需要取出,不然也会影响孩子的生长发育。”王簕说。
医生提醒:
出现这些症状快就医
脊柱是结核的好发部位之一,患者会出现剧烈的腰痛、背痛或颈部疼痛。这种疼痛多为持续性,改变姿势的时候会加重。当结核病进一步加重,出现脓肿压迫神经、脊髓时,会导致神经损害和脊髓受压迫。有部分患者还会合并一些全身性的症状,比如低热、盗汗、乏力等结核中毒的症状。所以,出现上述症状时,建议尽快就医,以免延误病情。(广州日报全媒体记者翁淑贤 通讯员白恬)