从低海拔地区突然抵达高海拔地区,出现胸闷、气喘、头晕、恶心等症状时,当心急性高原性肺水肿!近日,大理大学第一附属医院心血管内科紧急为看似患有高原反应,实则患有“急性高原性肺水肿”的小辉(化名)进行救治,成功把小辉从死亡线边缘救了回来。

27岁的小辉从云南坐飞机到西藏拉萨的当晚,就感觉自己胸闷、气喘,以为是常见的高原反应没有放在心上,但在随后两天的时间里,胸闷、气喘的症状逐渐加重,而且还咳嗽、咳痰,稍做活动就觉得头晕、恶心、呕吐,严重影响了正常生活。为了缓解这些不适感,小辉到当地医院检查就诊,医生考虑其患有“急性肺水肿”,对症治疗后,效果不太理想,情急之下,小辉乘坐飞机回到大理,来到大理大学第一附属医院急诊科就诊。

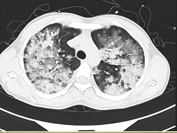
接诊医生在对小辉完善系列检查后发现:小辉血氧饱和波动仅有49%至60%(在不吸氧的条件下,正常血氧饱和度为95%以上),血压为89/63毫米汞柱(血压单位),脉率达每分钟144次,呼吸每分钟39次,双肺满布大量湿啰音,情况危急,随时会有生命危险。接诊医生立即联系了心血管内科,将小辉送至心血管内科接受紧急救治。
大附院心血管内科医师凭着丰富的临床经验,考虑小辉患的是急性肺水肿中极严重的急性高原肺水肿。小辉的病情随时有迅速恶化的风险,一旦得不到有效的救治,小辉即将面临昏迷甚至死亡!他们当即为小辉施行了系列紧急治疗。经过心血管内科医护人员齐心协力的救治后,小辉生命体征逐渐平稳,氧饱恢复到95%。

据大理大学第一附属医院院长、心血管内科专家吴新华介绍,急性高原肺水肿是一种急性致命性非心源性肺水肿,也是严重高原病最常见的类型。急性高原性肺水肿的主要症状表现为突发性胸闷、气喘、咳嗽、咳痰等,其发生机制主要为急性低氧引起肺动脉压力过度增高、肺血管通透性增高、肺水清除障碍、液体潴留及体液转运失调。如果该病能得到及时诊断和积极治疗,一般预后良好。解除病因、改善机体供氧是防治急性高原性肺水肿的首要措施,一旦延误诊断和治疗常可致死。(春城晚报-开屏新闻 记者刘文波 杨维琦 通讯员赵秋燕 大理大学第一附属医院供图)